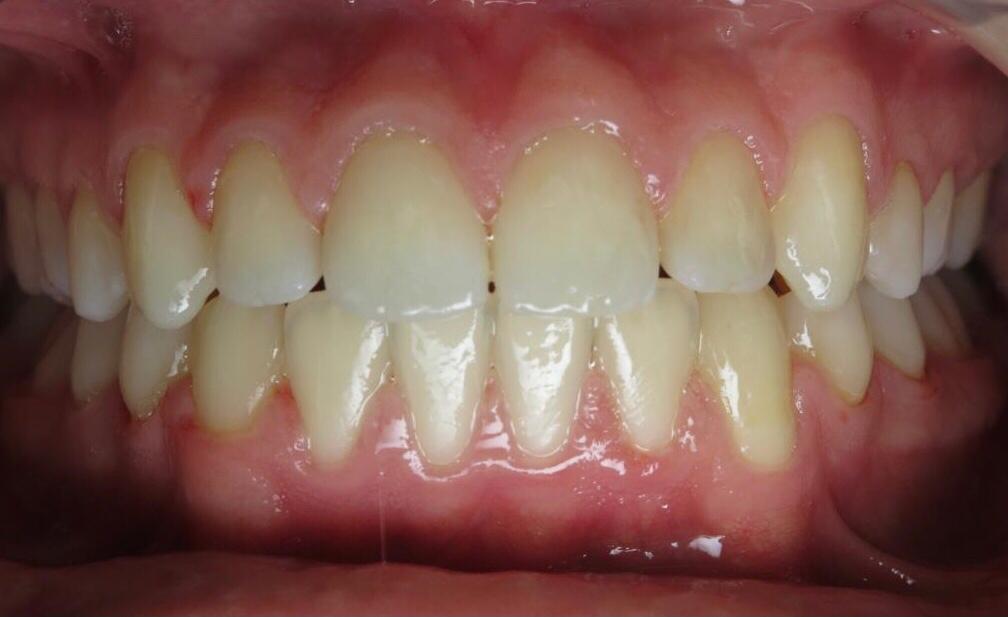
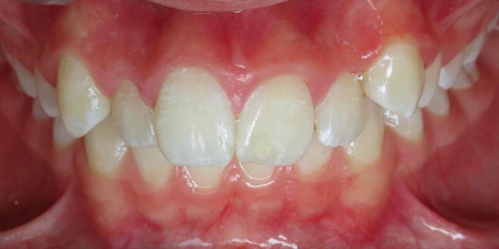
Notre patiente est venue nous consulter pour aligner ses dents et améliorer son sourire.
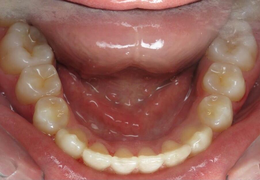
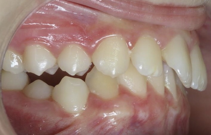
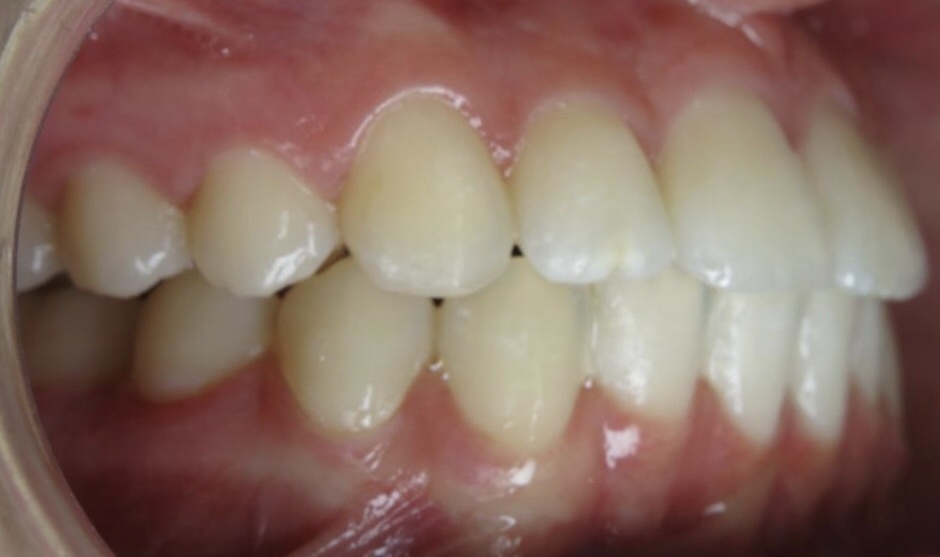
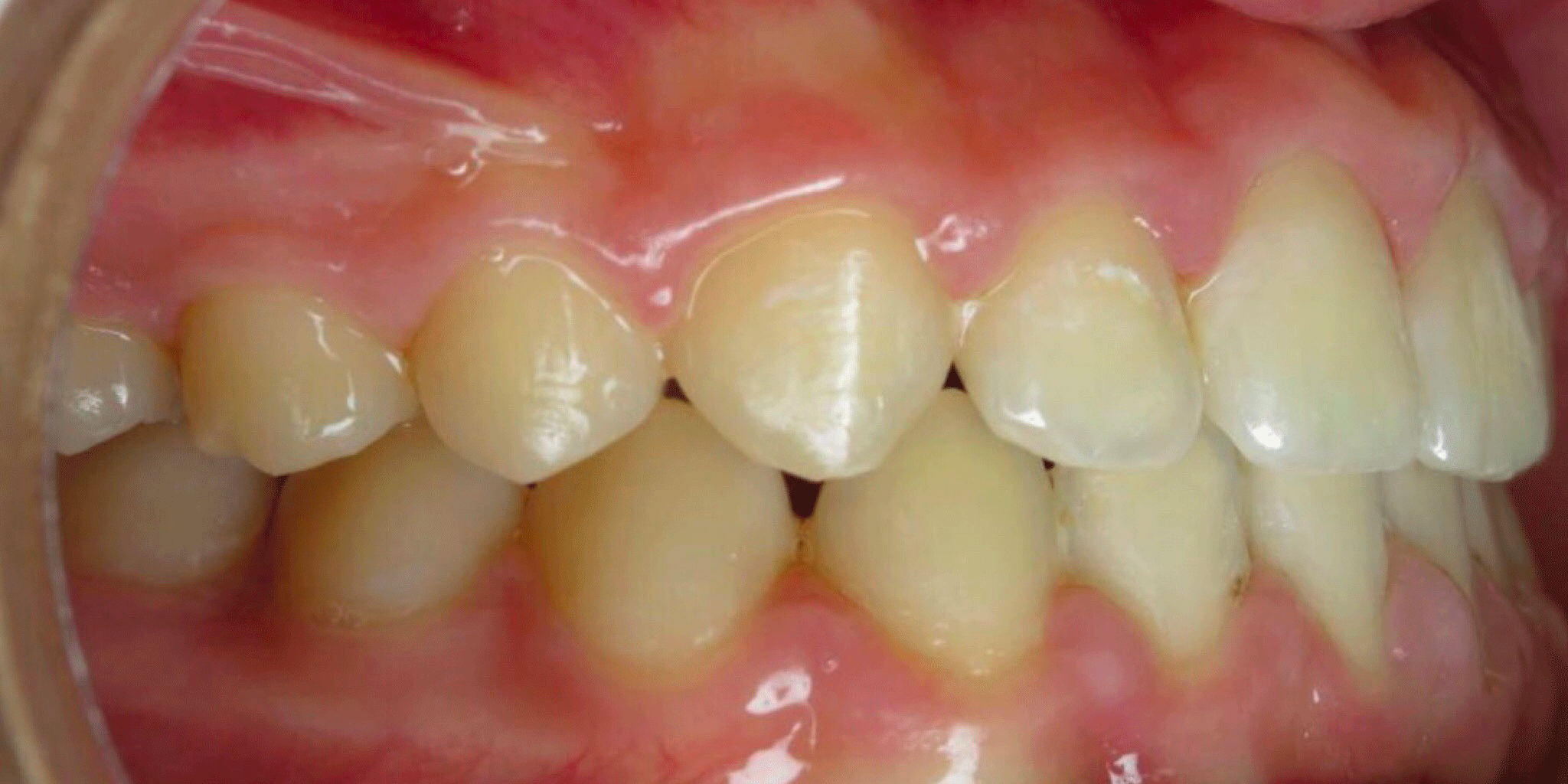
Il souffrait d’un encombrement dentaire à l’arcade supérieure et inférieure.
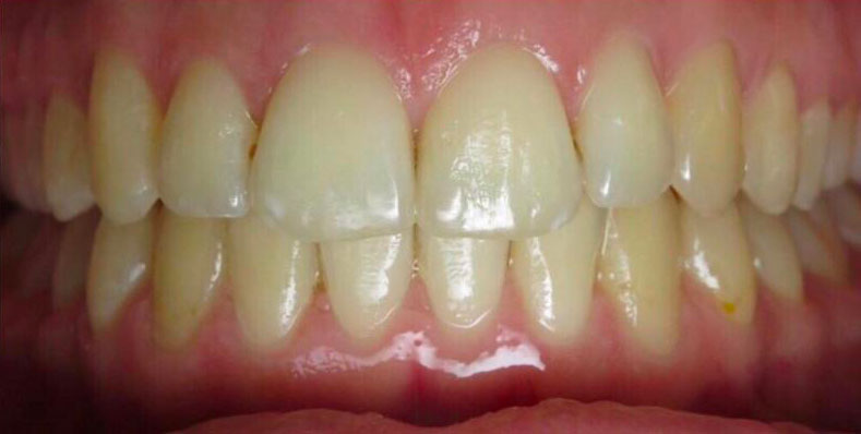
Nous avons décidé d’aligner les dents en conservant toutes les dents définitives avec la technique des gouttières dentaires(Invisalign) sans extractions dentaires.
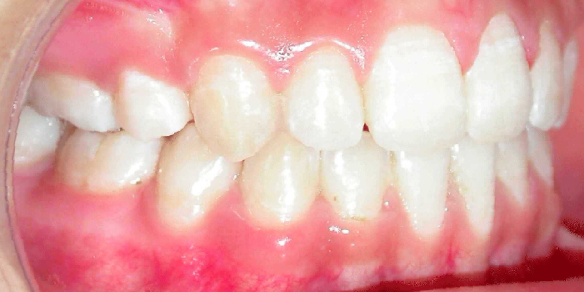
Après avoir réduit la largeur de certaines dents (stripping), nous avons pu redresser les incisives et améliorer le sourire.
La formation de l’arcade supérieure et sa coordination avec la mâchoire inférieure a permis d’obtenir une occlusion satisfaisante, un équilibre des différents étages du visage et un très beau sourire.
Notre patiente est ravie du résultat obtenu.